Querschnitt durch den

Kieferknochen mit

eingesetztem Implantat

und aufzementierter

Krone

Ein Implantat ist die operative Verankerung einer künstlichen

 Zahnwurzel im Kieferknochen.

Es dient in erster Linie zur Vermeidung eines heraus-

nehmbaren Zahnersatzes und zum Schließen einer Zahnlücke

ohne die gesunden Nachbarzähne angreifen zu müssen.

 

Die Angst vor Schmerzen ist hierbei völlig unbegründet,

da die Implantation im Allgemeinen ein kleinerer Eingriff ist

als eine Extraktion (Zahnentfernung).

Längsschnitt

 

 

 

 

 

 

 

 

Die Einsatzmöglichkeiten für ein Zahnimplantat sind folgende:

 

1) Schließen einer Zahnlücke ohne die Nachbarzähne angreifen zu müssen

 
 

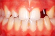
Zahnlücke

 

Eingesetztes Implantat

Implantat mit Krone

schematische Darstellung

 

 

 

 

 

 

2) Die Ermöglichung einer festsitzenden Brücke bei einer endständigen Zahnlücke

(wenn die hinteren Backenzähne fehlen)

 

Implantate

eingesetzte Brücke

schematische Darstellung

 

 

3) Bei völliger Zahnlosigkeit, vor allem im Unterkiefer wenn ein herausnehmbarer Zahnersatz schlecht hält.

 

zahnloser Unterkiefer

mit Implantaten

Implantate mit

aufgesetztem Steg

eingesetzte

Unterkiefer-Prothese

schematische

Darstellung