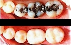
Patienten, die aus gesundheitlichen und / oder ästhetischen Gesichtspunkten

auf Amalgam verzichten wollen,

bieten sich verschiedene Möglichkeiten an:

 

 

1) Die Kunststoffüllung

 

Sie ist zahnfarben und wird in nur einer Sitzung

aus plastischem Material aufgebaut.

Hierbei gibt es je nach Aufwand und Qualität

gestaffelte Varianten.

 

 

 

 

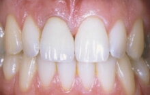
2) Die Porzellan- oder Glaskeramikfüllung

 

Sie ist ebenfalls zahnfarben, wird aber nach

vorheriger Präparation des Zahnes im

zahntechnischen Labor hergestellt und in

einer zweiten Sitzung mit zahnfarbenen

Kunststoff eingesetzt. Sie ist vom natürlichen

Zahn praktisch nicht zu unterscheiden

und daher die "schönste" Füllungsart.

 

 

 

 

3) Das Goldinlay

 

Die haltbarste aller Füllungen wird ebenfalls

im Labor hergestellt und ist im Preis

ähnlich wie die Porzellanfüllung.

 

 

 

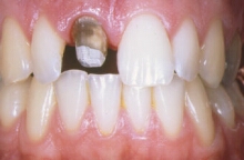
4) Die Krone

 

Sie ist bei sehr großen Defekten die beste

Alternative zu jeder Art Füllung und

ebenfalls aus Gold und / oder zahnfarbenem

Material herstellbar. Sie umhüllt

gänzlich die gesunde Restsubstanz des Zahnes.